Widget HTML Atas

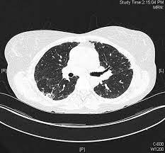
Recessed Lighting Installation Necrotizing Granulomatous Pneumonitis : Diffuse Cystic Lung Disease As The Primary Tomographic Manifestation Of Bronchiolitis A Case Series Pulmonology - It is a rare necrotizing variant of sarcoidosis.

Recessed Lighting Installation Necrotizing Granulomatous Pneumonitis : Diffuse Cystic Lung Disease As The Primary Tomographic Manifestation Of Bronchiolitis A Case Series Pulmonology - It is a rare necrotizing variant of sarcoidosis.. This disease is characterized by necrotizing small to medium vessel granulomatous vasculitis of unknown etiology. Mimicking hypersensitivity pneumonitis as an uncommon initial presentation of chronic granulomatous disease in children. Granulomatous pneumonitis is caused by exposure to several respirable metal particles including copper. 2) focal necrotizing or granulomatous vasculitis of small. The majority will be proven infectious with special stains for microorganisms.

Fever, dyspnea, cough, crackles monocytosis in bronchoalveolar lavage. With pneumonitis chronic inflammation of lung tissue can lead to irreversible scarring. This disease is characterized by necrotizing small to medium vessel granulomatous vasculitis of unknown etiology. Pulmonary necrotizing granulomas of unknown etiology: Granulomatous pneumonitis and mediastinal lymphadenopathy due to photocopier toner dust.

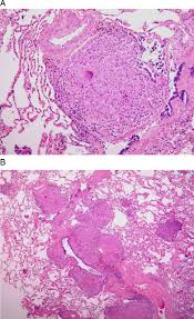
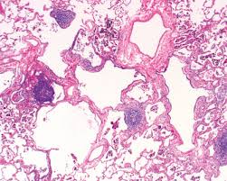
Granulomatous Lung Disease Chapter 2 Non Neoplastic Pulmonary Pathology
Granulomatous Lung Disease Chapter 2 Non Neoplastic Pulmonary Pathology from static.cambridge.org
They are caused by extravascular palisading granulomatous lesions with central. Necrotizing granulomatous inflammation usually involving the upper and lower respiratory tract, and necrotizing vasculitis affecting necrotizing glomerulonephritis is common. chcc2012 also agreed to rename wegener's granulomatosis as granulomatosis with polyangiitis (gpa). Nodules and papules appear on extensor surfaces of extremities. The present study describes the epidemiology, aetiology, management and outcomes of children hospitalised with np over a. 2) focal necrotizing or granulomatous vasculitis of small. Necrotizing granulomas are commonly encountered in surgically resected specimens. Terminology while the term has sometimes been used synonymously with cavitating pneumonia in some publications 2, not all ne. Classic triad (2 of 3 often present) can have relationship with tarsal conjunctival involvement (robinson 2003).

Necrotizing granulomatous inflammation usually involving the upper and lower respiratory tract, and necrotizing vasculitis affecting necrotizing glomerulonephritis is common. chcc2012 also agreed to rename wegener's granulomatosis as granulomatosis with polyangiitis (gpa).

Are you hoping to create more of a clean recessed lighting, sometimes referred to as pot or can lighting, features fixtures that are set into walls or ceilings rather than hanging from them. Gordetsky j, kim c, miller rf, mehrad m. The present study describes the epidemiology, aetiology, management and outcomes of children hospitalised with np over a. Granulomatous interstitial pneumonitis in association with primary. Extra pulmonary presentation of nsg is very rare. Mimicking hypersensitivity pneumonitis as an uncommon initial presentation of chronic granulomatous disease in children. 2) focal necrotizing or granulomatous vasculitis of small. Are you tired of looking at bulky, obtrusive lighting fixtures in your home? © 1999 lippincott williams & wilkins, inc. This video will help guide you into. Necrotizing sarcoid granulomatosis (nsg) is a granulomatous disease entity which presents with nodular masses of sarcoid like granuloma which primarily effects the lungs. Pneumonitis is a general term for inflammation of lung tissue. Granulomatous pneumonitis and mediastinal lymphadenopathy due to photocopier toner dust.

Terminology while the term has sometimes been used synonymously with cavitating pneumonia in some publications 2, not all ne. An acute granulomatous interstitial pneumonitis occurring in agricultural workers. 2) focal necrotizing or granulomatous vasculitis of small. Necrotizing pneumonia is characterized by necrosis and liquefaction of consolidated lung tissue, which may be complicated by solitary, multiple, or multiloculated radiolucent foci, bronchopleural fistulas, and intrapulmonary abscesses. Mimicking hypersensitivity pneumonitis as an uncommon initial presentation of chronic granulomatous disease in children.

Orbital Disease In Neuro Ophthalmology Sciencedirect
Orbital Disease In Neuro Ophthalmology Sciencedirect from ars.els-cdn.com
Where in the body does hypersensitivity pneumonitis primarily 1) acute necrotising granulomas of urt, sinuses, the lower respiratory tract (lung) or both. This video will help guide you into. Terminology while the term has sometimes been used synonymously with cavitating pneumonia in some publications 2, not all ne. With pneumonitis chronic inflammation of lung tissue can lead to irreversible scarring. Are you hoping to create more of a clean recessed lighting, sometimes referred to as pot or can lighting, features fixtures that are set into walls or ceilings rather than hanging from them. Granulomatous interstitial pneumonitis in association with primary. Not sure what type of retention system your housing has or which trims we have that you can you use with your housing? It is a rare necrotizing variant of sarcoidosis.

Pulmonary necrotizing granulomas of unknown etiology:

Clinical and pathologic analysis of 131 patients with completely resected nodules. Classic triad (2 of 3 often present) can have relationship with tarsal conjunctival involvement (robinson 2003). Necrotizing sarcoid granulomatosis (nsg) is a granulomatous disease entity which presents with nodular masses of sarcoid like granuloma which primarily effects the lungs. They are caused by extravascular palisading granulomatous lesions with central. The present study describes the epidemiology, aetiology, management and outcomes of children hospitalised with np over a. Nodules and papules appear on extensor surfaces of extremities. This disease is characterized by necrotizing small to medium vessel granulomatous vasculitis of unknown etiology. © 1999 lippincott williams & wilkins, inc. This video will help guide you into. With pneumonitis chronic inflammation of lung tissue can lead to irreversible scarring. Pulmonary necrotizing granulomas of unknown etiology: Fever, dyspnea, cough, crackles monocytosis in bronchoalveolar lavage. Gordetsky j, kim c, miller rf, mehrad m.

Necrotizing pneumonia is characterized by necrosis and liquefaction of consolidated lung tissue, which may be complicated by solitary, multiple, or multiloculated radiolucent foci, bronchopleural fistulas, and intrapulmonary abscesses. Fever, dyspnea, cough, crackles monocytosis in bronchoalveolar lavage. Necrotizing sarcoid granulomatosis (nsg) is a granulomatous disease entity which presents with nodular masses of sarcoid like granuloma which primarily effects the lungs. These need to be distinguished from other granulomatous processes such as wegener's granulomatosis (wg). © 1999 lippincott williams & wilkins, inc.

Julia R Nunley Edgar V Lerma Eds Dermatological Manifestations Of Kidney Disease Springer Verlag New York 2015 Chronic Kidney Disease Renal Function
Julia R Nunley Edgar V Lerma Eds Dermatological Manifestations Of Kidney Disease Springer Verlag New York 2015 Chronic Kidney Disease Renal Function from imgv2-2-f.scribdassets.com
An acute granulomatous interstitial pneumonitis occurring in agricultural workers. Granulomatous pneumonitis and mediastinal lymphadenopathy due to photocopier toner dust. Pulmonary necrotizing granulomas of unknown etiology: Fever, dyspnea, cough, crackles monocytosis in bronchoalveolar lavage. This disease is characterized by necrotizing small to medium vessel granulomatous vasculitis of unknown etiology. Classic triad (2 of 3 often present) can have relationship with tarsal conjunctival involvement (robinson 2003). Necrotizing sarcoid granulomatosis (nsg) is a granulomatous disease entity which presents with nodular masses of sarcoid like granuloma which primarily effects the lungs. Clinical and pathologic analysis of 131 patients with completely resected nodules.

These need to be distinguished from other granulomatous processes such as wegener's granulomatosis (wg).

Where in the body does hypersensitivity pneumonitis primarily 1) acute necrotising granulomas of urt, sinuses, the lower respiratory tract (lung) or both. Fever, dyspnea, cough, crackles monocytosis in bronchoalveolar lavage. Egpa is characterized by extravascular necrotizing granulomas (usually rich in eosinophils), eosinophilia, and tissue infiltration by eosinophils. Necrotizing sarcoid granulomatosis (nsg) is a granulomatous disease entity which presents with nodular masses of sarcoid like granuloma which primarily effects the lungs. Necrotizing granulomatous inflammation usually involving the upper and lower respiratory tract, and necrotizing vasculitis affecting necrotizing glomerulonephritis is common. chcc2012 also agreed to rename wegener's granulomatosis as granulomatosis with polyangiitis (gpa). Pulmonary necrotizing granulomas of unknown etiology: Are you hoping to create more of a clean recessed lighting, sometimes referred to as pot or can lighting, features fixtures that are set into walls or ceilings rather than hanging from them. Necrotizing pneumonia refers to pneumonia characterized by the development of the necrosis within infected lung tissue. Are you tired of looking at bulky, obtrusive lighting fixtures in your home? Granulomatous interstitial pneumonitis in association with primary. This video will help guide you into. Extra pulmonary presentation of nsg is very rare. Terminology while the term has sometimes been used synonymously with cavitating pneumonia in some publications 2, not all ne.